
審美セラミック歯科治療とは、つめ物・かぶせ物を用いて「歯の色」「歯の形」「歯並び」をより美しくする治療です。そして、患者様の口元のコンプレックスを取り除き、人生を楽しんでいただく治療とも言えます。

よく、審美セラミック歯科治療とホワイトニングを混同されている方がいらっしゃるのですが、審美セラミック歯科治療は歯を削り、かぶせ物等を装着させます。そして長期間白さを維持できます。
ホワイトニングは薬剤の力で歯を白くしますが、審美セラミック歯科治療と異なり色が後戻りします。また、歯を削ることはありません。
|
歯を削る |
薬を使う |
後戻りする |
値段 |
|---|---|---|---|---|
審美セラミック歯科 |
|
|
|
高い |
ホワイトニング |
|
|
|
安い |
どちらの治療にも一長一短がありますが、まずは本文を読んで頂き、担当医と相談することをお勧めします。
審美セラミック歯科治療をどこの歯科医院で受診しても同じだと思っていませんか?
それは大きな間違いです。
審美セラミック歯科治療は単に「綺麗な歯を入れる」だけではありません。
患者様の理想と現状をしっかり把握し、
患者様から見える部分だけではなく、
見えないところにもいかにこだわれるか。
これが審美セラミック歯科治療の成功・不成功のカギを
握ることとなります。
ここまでしっかり考えて治療している歯科医院が、
安心して治療を任せられる歯科医院だと当院は考えます。

ではこれから、当院の審美セラミック歯科治療における「4つの特徴」をご紹介します。
単に白く綺麗な人工歯を作るだけが
審美セラミック歯科治療ではありません。
当院では、次の10の基準に基づき、
審美セラミック歯科治療を行っています。

![]() |
歯の形態歯の形態1つで口元のイメージが変化します。カウンセリングで得られた情報をもとに、形態を決定します。 |
|
顔貌との調和体の中心ラインを「正中線」というのですが、この線に上下の歯の中心が合わさることで顔貌と口元のバランスが取れることになります。 |
|---|---|---|---|
![]() |
唇との調和笑ったときの上の歯の縁を線で結んだライン。緩やかな弧を描くほど女性的な魅力が高まり、水平になるほど男性的な印象になります。 |
![]() |
歯の特徴付け歯は皆さんが想像されている以上に複雑な形をしています。この形に近づけることにより天然歯と見分けがつきにくい歯が出来上がります。 |
![]() |
性別男性・女性で理想とされている歯の形というものがあり、その中でもさらに細分化されます。あとでご紹介します。 |
![]() |
肌の色肌の色とバランスをとりながら、美しく見える色の濃淡・深み・明度・彩度を微調整していきます。 |
![]() |
年齢個々人の好みによって変化しますが、一般的には年相応の歯の形・色が存在し、それに近づけることで自然な口元を演出します。 |
![]() |
バリエーション審美セラミック歯科治療で用いる素材は様々なものがあります。お口の状態・患者様の理想によりそれらを使い分けます。詳しくは料金表をご覧ください。 |
![]() |
歯の配列・位置形・色だけでなく、お口全体のバランスを考えた人工歯の配列・位置も大切となります。 |
![]() |
相対的歯冠長黄金比率(1.6、1.0、0.6)に基づき、配列を計算しながら治療を行うことで、バランスのとれた整合性のある形を追求します。 |
色々とありますが、要はこれらすべてを考慮することで、はじめてあなたに調和した、そしてオリジナルの歯が出来上がります。単に「白くて綺麗な歯」を作るのはどのドクターでもできます。細部までこだわり、そして治療対象の歯だけではなく、お口全体のバランス考えながら治療を行うことで初めて総合的な「美」は獲得されるのです。
美しさを追求するのが審美セラミック歯科治療ですが、それだけを追い求めるのはNGです。
当院の審美セラミック歯科治療は美しさだけでなく、歯本来の「機能性」を考慮した治療を行います。
審美セラミック歯科治療をしたことで、あごの疲れ・肩こり・腰痛・頭痛などが発症することが稀にあります。これは治療により「咬み合せ」が微妙に変化したことに起因することがあります。このように、たとえ1本の歯を治療する場合であっても、お口全体のバランス・機能性を考慮した治療を行わなければなりません。
当院で行っているこだわりの治療工程をご紹介します。
|
|
初期治療の徹底歯周病・虫歯がある場合、先にその治療を先行させます。これをしないと、そもそも美の追求は不可能であり、治療後の状態も芳しくありません。 |
|
拡大鏡歯科用の拡大鏡です。高倍率下で治療ができますので、精密な治療が可能になります。 |
|---|---|---|---|
|
|
シリコン印象印象材には「アルジネート」と「シリコン」があります。状況により使い分けを行います。 |
|
ワックスアップ咬み合わせ、歯の大きさ、形、角度などをシュミレーションする工程です。完成形のイメージをここでデザインします。 |
|
|
プロビジョナルレストレーションワックスアップでデザインしたイメージをもとに作成した「仮の歯」を、患者様のお口の中に装着し、本番さながらのシミュレーションを行う事です。この仮歯は、歯が無い期間をなくすためだけに装着するものではありません。歯茎の状態改善、咬み合わせなどの機能性の改善、お口全体のバランス確認などをこの工程でチェックします。この段階ではまだ修正はできますので、患者様の感想を伺いながら細かな修正を行っていきます。 |
|---|---|
|
|
歯肉圧排歯肉を押し下げて、歯と歯茎の間に隙間が生じないようにするための工程です。これを行うことで虫歯予防にもなりますし、完成後の審美性にも関係してきます。 |
院長は東京歯科大学の理工学博士課程にも在籍していたこともあり、「物質の機能」に関して詳細な知識を有しています。審美セラミック歯科治療で利用するかぶせ物等には様々な種類があり、それぞれ特性が異なります。またお口の状態によっても、利用する素材は異なります。



例えば、セラミックにも「オールセラミック」「メタルボンドセラミック」「ハイブリッドセラミック」「ジルコニアセラミック」などがあり、それぞれ特性が異なります。
患者様は「金額」という基準でしか選択の幅はありませんが、実は「機能性」「長期安定性」「審美性」「金属アレルギーの有無」「二次虫歯の可能性」「咬合」などの選択基準があり、これらすべてを考慮して選択されるのがベストです。
患者様だけではこのような適切な判断は難しいですので、それぞれの機能性を分かりやすく噛み砕きながら、院長、そしてTC(トリートメントコーディネーター)がご提案させていただきます。
また、素材の特性そして料金に関しましては料金表をご参照ください。

皆様はあまりご存じないかもしれませんが、詰め物・かぶせ物は歯科技工所という別のところで作成します。1から100まですべて歯科医師が作るわけではありません。
つまり、いくら歯科医師の能力が高くとも、連携している歯科技工所の能力が高くなければ決してよい技工物(詰め物・かぶせ物)は作れないということです。
したがって、どの技工所と連携しているかで詰め物・かぶせ物の良し悪しが変わってきます。
当院では、「㈱杏友会」という歯科技工所さんと連携し、詰め物・かぶせ物を作成しています。杏友会さんは、総勢200名以上の歯科技工士が在籍する信頼の大型総合デンタルラボです。専門分野に分かれた体制の中で、多人数での製作を行うことにより、小規模な歯科技工所では難しい、ノウハウ、知識、経験の共有を可能にしています。

また、症例によっては担当の技工士さんが来院し、患者様の意向・お口の状態を拝見し、より精度の高い治療を実施することもあります。
このようなご要望にはセラミック素材の「詰め物(インレー)」「かぶせ物(クラウン)」をお勧めします。
下記の画像は銀歯の詰め物(インレー)をセラミック素材の詰め物(インレー)に差し替えた症例です。

下記の画像は銀歯のかぶせ物(クラウン)をセラミック素材のかぶせ物(クラウン)に差し替えた症例です。

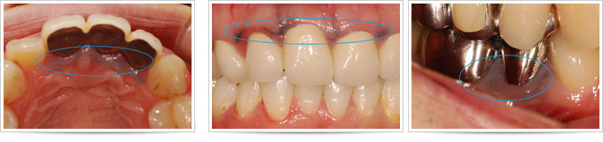
銀歯による金属アレルギーをご存知でしょうか?
人によっては次のような症状が出る可能性があります。

金属が肌に触れることで、かゆみが出たり皮膚が
かぶれたりする「金属アレルギー」。
対策として金属製のアクセサリーを身につけない
方もいらっしゃると思います。
しかし金属アレルギー症状は、
金属が肌に触れることだけで起こるものでは
ありません。金属の詰め物や被せ物が 溶け出し、
体内に取り込まれることで起きることもあります。

また、銀歯の金属イオンが歯茎に沈着することで審美性が損なわれることもあります。
下の画像がその症例です。

驚かれるかもしれませんが、日本での歯科治療に使用(保険治療)されている銀歯は、戦後、物がない時に、日本独自に開発されたもので、今日に至るまで全く変わっておりません。生体への安全性という観点において疑問視される点も多くあります。
当院では、金属アレルギーの原因となる素材を使わない「メタルフリー素材」にも対応していますので、ご相談いただければと思います。金属アレルギーになりにくいだけではなく、虫歯にもなりにくく、かつ、天然歯に近い歯の「色」「形」をデザインできます。
タバコ、コーヒー、お茶、ワイン、カレーなど飲食物には着色しやすいものがあります。審美セラミック歯科治療でも対応可能ですが、より手軽により安くできるものに「ホワイトニング(薬剤を使った治療)」や「PMTC(専門器具を用いたクリーニング)」がありますのでそちらをご紹介します。

ホワイトニングに関しての詳細はホワイトニングをご参照ください。

PMTCとは、特殊な器具を用いて歯の着色汚れや、歯周病・虫歯の原因となる歯垢・歯石を除去する治療です。歯本来の白さを回復でき、かつ、虫歯・歯周病予防につながります。
歯の表面や隙間、裏側に付着したタバコのヤニ、茶渋などが気になる方、一度ご相談ください。詳しくは予防歯科へ。
審美セラミック歯科治療では「歯の形」も理想の形へ変化させることが可能です。
オールセラミッククラウン法(セラミックのかぶせ物)を利用します。
下記の画像はオールセラミッククラウン法(セラミックのかぶせ物)で「歯の白さ」と「歯の形」を改善させた症例です。


歯の形・歯の大きさは、あなたが思っているよりもその人の個性を際立たせます。
|
ナチュラル型日本人に多いタイプで、前歯の先端が直線上にある歯と、ない歯とが混在しています。自然な歯並びと言えます。口を小さく見せる効果もあり、若々しい印象を与えます。
|
|---|---|
|
|
ストレート型白人に多いタイプの歯並びで、前歯の先端がすべて直線上にあるので、口元をくっきりと強調することができます。
|
|
クローズ型日本人の女優さんに多いタイプの歯並びです。前歯の先端はすべて直線上にありますが歯と歯に多少の重なりがあることが特徴です。出っ歯を治したい人、女性的な印象をもっと強調したいという人に向いていると言われます。
|
![]() |
スマイルライン型下唇のラインと前歯のラインが平行になっているのが特徴です。 世界的に好まれる並びで、ハリウッドスマイルとも呼ばれています。 |
このように「歯の形」「歯の大きさ」の微妙な違いによって、その人の印象を変えてしまう事があります。当院では、このようなことも考慮した上でのご提案・治療を行っております。
他院で治療した歯の色、形が気に入らないというご相談を良く受けます。。
例えば、「1本だけ治療したのですが、他の歯との色のバランスが悪く、かえって不自然になってしまった。」「治療した歯と歯肉の境目から銀色の金属が見えてしまっている」など。
当院ではこのような症例でも対応させていただいております。
当院で行ったリカバリー症例(改善症例)をご紹介します。
![]()

![]() |
治療前の画像では明らかに「治療した歯」というのが分かると思います。また、他の歯との形・色合いのバランスが取れておりませんでした。他の歯との調和と患者様のご要望をお聞きし対応いたしました。 |
![]()

![]() |
他院で治療した歯から「金属」が見えてしまっている、「他の歯との色のバランスが悪い」と来院されました。当院でメタルボンドと呼ばれる素材を使い、「色のバランス」そして「金属が見えないようにする処置」を行いました。 |
当院では、審美セラミック歯科治療に関しての疑問・不安・質問などにお応えする機会を設けております。どんな事でも構いません。私達にお話しして頂けたらと思います。
ご興味がある方は下記からお問い合わせください。
当院で治療した症例をビフォア・アフター形式でご紹介します。
ご興味のある方は症例集をご参照ください。
料金表はこちらです。





























